近日,我校医学院·整合医学学院杨烨教授、顾春艳教授科研团队在国际著名期刊Leukemia(中科院医学一区,IF:8.665)、Cell Death & Disease(中科院生物二区,IF:6.304)、Computational and Structural Biotechnology Journal(中科院生物二区,IF:6.018)、Signal Transduction and Targeted Therapy(中科院医学一区,IF:13.493)和Journal of Hematology & Oncology(中科院医学一区,IF: 11.059)杂志连续发表5篇关于多发性骨髓瘤的重要研究成果。
2020年9月8日,Leukemia期刊在线发表了课题组研究论文“RFWD2 induces cellular proliferation and selective proteasome inhibitor resistance by mediating P27 ubiquitination in multiple myeloma”。该研究综合运用临床病例数据、异种移植瘤动物模型及细胞系,结合高通量测序、生化分子生物学技术发现E3泛素连接酶RFWD2基因在MM患者,尤其是增殖PR亚组,高表达且预后差,后续实验证实RFWD2可以介导p27的泛素化降解,从而促进骨髓瘤细胞的恶性增殖。该研究为开发靶向耐硼替佐米药物的复发MM患者提供新的治疗靶点。顾春艳教授为本论文第一作者,硕士研究生芦婷为共同第一作者,杨烨教授为通讯作者,该研究受国家重点研发计划“精准医学研究”专项(2016YFC0905900)、国家自然科学基金(81970196、81670200)以及江苏高校优势学科建设工程资助项目资助。
论文链接:https://www.nature.com/articles/s41375-020-01033-z

Figure 1. RFWD2 is a high-risk gene in multiple myeloma. Figure 2. RFWD2 promotes MM cellular proliferation and drug-resistance by regulating P27 degradation.
2021年1月22日,课题组在Computational and Structural Biotechnology Journal期刊在线发表题为“Review on circular RNAs and new insights into their roles in cancer”的综述。该综述就目前对环状RNA的生物合成、生物学功能、亚细胞分布、表观遗传调控、细胞外运输和降解等方面的研究进行系统总结,涉及到环状RNA研究的最新数据库和方法,讨论了环状RNA在肿瘤生长、迁移和侵袭等方面的研究进展,并对环状RNA在癌症患者中的临床应用前景进行了展望。博士生唐校柱为该论文第一作者,青年教师任宏艳为共同第一作者,杨烨教授、顾春艳教授为通讯作者。该研究获得国家自然科学基金(81970196、82073885)、江苏省“六大人才高峰”创新团队项目(TD-SWYY-015)、江苏省优秀青年基金(BK20200097)、江苏省高等学校重点学科发展(中西医结合)基金等项目资助。
论文链接:https://www.sciencedirect.com/science/article/pii/S2001037021000222
2021年2月24日,课题组在Signal Transduction and Targeted Therapy期刊在线发表题为“Alternative splicing and cancer: a systematic review“的综述。本综述系统描述了选择性剪接的调控机制及其在肿瘤细胞中的功能。从增殖和凋亡到侵袭和转移,从血管生成到代谢,异常的剪接事件作为致癌驱动因子和/或旁观者因素促成肿瘤进展,还包括在肿瘤中检测到的剪接因子的改变以及在肿瘤发生中的其他剪接事件。该综述还讨论了新兴的基于RNA的策略,以异常的可变剪接亚型治疗癌症。博士生张园娇为该论文第一作者,青年教师钱进军为共同第一作者,杨烨教授、顾春艳教授为通讯作者。该研究获得国家重点研发计划(2016YFC0905900)、国家自然科学基金(81970196、 81670200)、江苏省“六大人才高峰”创新团队项目(TD-SWYY-015)、江苏省优秀青年科学基金等项目的支持。
论文链接:https://www.nature.com/articles/s41392-021-00486-7
2021年2月24日,课题组在Cell Death & Disease期刊在线发表“Suppression of steroid 5α-reductase type I promotes cellular apoptosis and autophagy via PI3K/Akt/mTOR pathway in multiple myeloma”的论文。基于MM男女发病率在性别上的差异,课题组开展了促癌基因类固醇5α还原酶Steroid 5α-reductase type I(SRD5A1)在MM中的作用研究,下调SRD5A1后可以同时诱导自噬和凋亡;若同时增加自噬/PI3K抑制剂3-甲基腺嘌呤可以加剧SRD5A1敲低诱导的凋亡。该研究探讨了MM细胞中自噬与凋亡的关系,为将来MM联合用药提供了新思路。硕士研究生窦仁捷为该论文第一作者,青年教师钱进军为共同第一作者,杨烨教授、顾春艳教授为论文通讯作者。该研究受国家自然科学基金(81703483)项目资助。
论文链接:https://www.nature.com/articles/s41419-021-03510-4
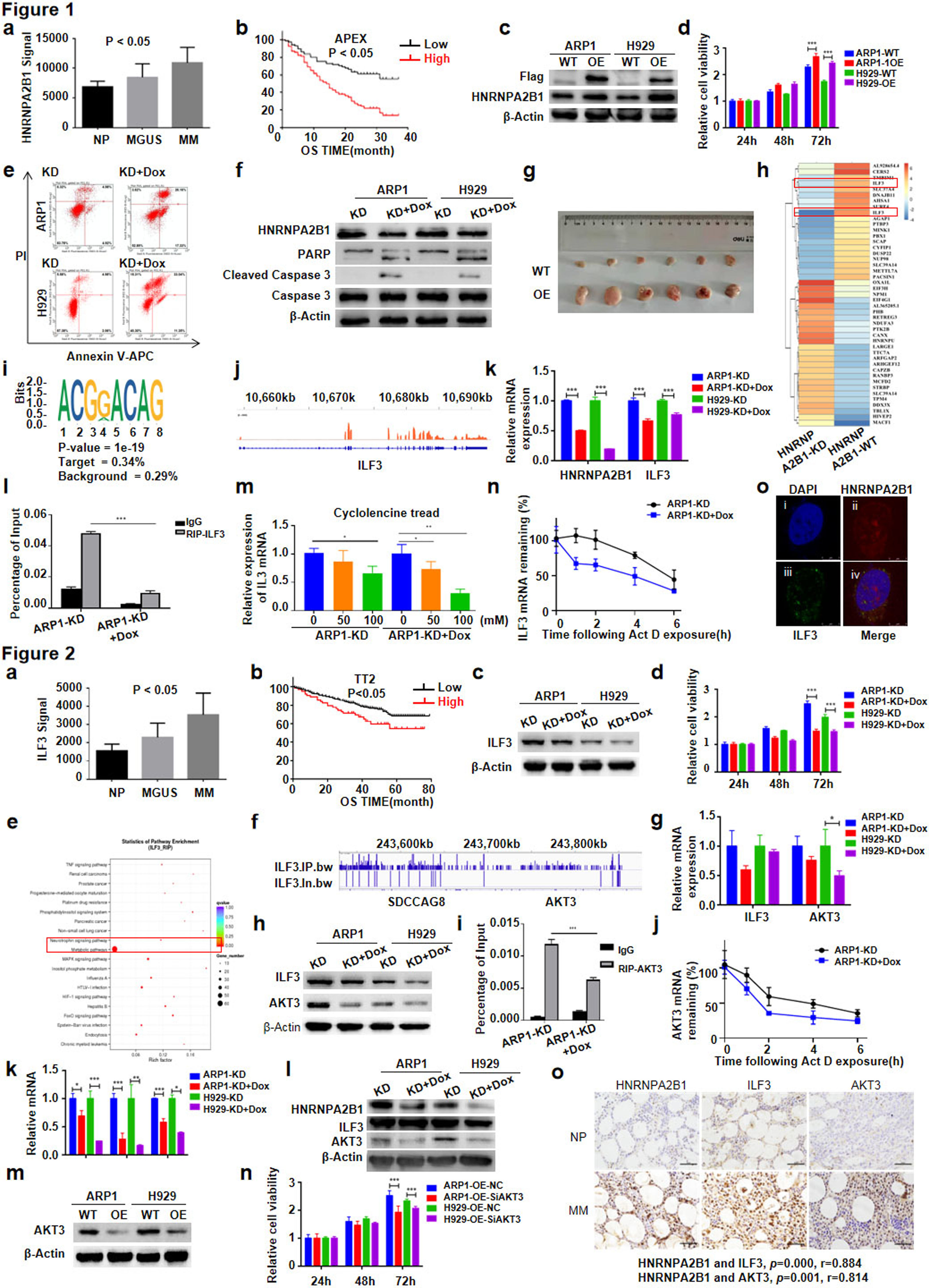
2021年4月2日,Journal of Hematology & Oncology在线发表了课题组“HNRNPA2B1 promotes MM progression by increasing AKT3 genes expression via m6A dependent stabilization of ILF3 mRNA”的文章。腺嘌呤N6-甲基化(N6-methyladenosine,m6A)是真核生物中最广泛的转录后修饰,而m6A在MM中的作用之前未有研究报道。本文发现HNRNPA2B1识别ILF3(Interleukin enhancer-binding factor 3)RNA上的m6A位点,与ILF3直接结合,稳定ILF3 RNA,促进ILF3表达。ILF3结合并稳定AKT3 RNA,使AKT3水平升高,激活PI3K/AKT通路,揭示了HNRNPA2B1/m6A/ILF3/AKT3调控网络在促进MM恶性增殖中的作用,为MM治疗提供新的靶标。博士生姜凤洁为第一作者,博士生唐校柱、青年教师唐超为共同第一作者,杨烨教授、顾春艳教授为通讯作者。该研究由国家重点研发计划项目(2020YFA0509404)、国家自然科学基金面上项目(81970196、81670200)和江苏省自然科学基金“优秀青年基金”项目(BK20200097)资助。
论文链接:https://doi.org/10.1186/s13045-021-01066-6

Fig. 1 HNRNPA2B1 promotes MM proliferation and increases ILF3 protein expression through recognizing m6A modification and maintaining stabilization of ILF3 mRNA.
Fig. 2 HNRNPA2B1 facilitates MM progression via enhancing ILF3-mediated expression of AKT3 in vitro.


